
随着辅助生殖技术的不断创新提升,以及走进并造福给越来越多的普通家庭,“试管婴儿”的概念似乎已经变的不再陌生,然而,何为“试管”?那些真正发生在实验室中的核心环节,在大家心中却依然迷一样的存在着。取卵、受精、胚胎移植,本文将逐一为您解开心中谜团
那些鲜活灵动的小生命迈入实验室的第一步,便是配子的来临,这也是患者进入试管周期后第一个关键性的环节--取卵与取精的进行。精液的处理要分别经过等待液化-粘稠度判断-精液质量评估-离心处理等步骤。与此同时,卵子采集及处理也在同步进行,手术医师在超声引导下穿刺抽吸卵泡液后由护士经传递窗递进实验室,胚胎师迅速观察卵泡液,从中找出卵子--移入相应的处理液皿中进行培养。这些钻石般晶莹剔透、光彩熠熠的卵子,如女性的生命进展过程般,也有其自己的评级标准:

GV期(幼年):卵子处于未成熟阶段。

MI期(少年):卵细胞进入欠成熟状态。

MII期(中青年):成熟卵子;
MIII期(老年):卵子老化。
卵子的评级与男方精液质量情况将共同参与授精方式选择的考量。
辅助精子与卵子结合的操作,我们称之为授精,我中心所采用的授精方式主要包括IVF、ICSI以及短时授精。IVF,又称一代试管,是将卵子置于经过处理的精子液周围,给予精子最适宜的条件进行公平竞争,最终优胜者将进入卵子与其结合并形成胚胎,这也是人们常笑称的“自由恋爱式授精”。

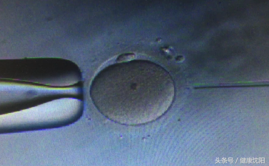
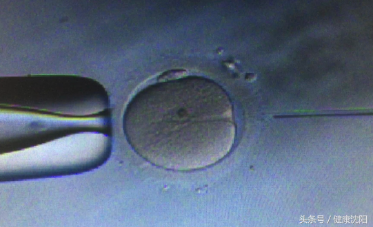
而与其相对应的,则是“包办婚姻式授精”--单精子卵胞浆内显微注射,也称二代试管。与IVF不同的是,在此操作前胚胎师需先为卵子卸去华丽的妆容,即剥离颗粒细胞,以坦诚之心迎接准新郎,而后在众多奋力表现的精子中选择形象最好、活力最佳的一个,借助显微注射针将其送入卵子内,完成授精操作。




ICSI技术的出现,使很多少、弱精子症患者不必再望子兴叹,这一技术使“只要有一条活精子,就能得到一个健康的婴儿”成为可能。除此之外,与IVF具异曲同工之妙的短时授精,是在IVF基本操作流程基础上,对授精及观察时间作出调整:提前授精,当日观察,受精不佳,及时补救。每一个成熟的卵子都有一颗属于自己的“小心脏”,即极体,当精子走进卵子“内心”时,我们便会在镜下观察到甜蜜相依的两颗心脏,即第二极体的出现,并将此初步判定为--受精

当然,如果所观察到的预期受精率低于额定比例,胚胎师则将酌情采取二代补救措施,以提高其受精率。而以上三种方式实际受精情况的确定,则均需待次日的观察胚胎原核方有定论,镜下可观察到两个原核的胚胎即为受精。

(DAY1:原核期)

(DAY2:4细胞)

(DAY3:8细胞)

(融合期)

(囊胚期)
待手术医师将移植外管置入患者宫腔后,胚胎师便以“液-气-液(胚胎)-气-液”的顺序,将胚胎吸取并最好的保护在移植内管中,再经沿外管,帮助这些小生命进入母亲温暖的子宫--它们生命里程的第一个家里。
创造生命的奇迹,构建完美的人生,再接下来,我们需要做的便是静静等待并陪伴这一个个的小巧的精灵在温润的土壤中开花结果,去尽情绽放出它们生命的光彩!
苏诗萌,沈阳市妇婴医院辅助生殖中心实验室护士长,主管护师,生理学硕士研究生。在辅助生殖专科领域同时兼具丰富的临床、护理及实验室工作经验,擅长心理护理、优质护理与临床路径护理的综合应用。






